ひざ 【春日部のやぎはし整体院】ひざの整体 歩き方を正常化する!! 歩き方の乱れがひざ痛の原因になる《春日部のやぎはし整体院が解説》 私たちの生活は・・・ 私たちは、止まっている事がほとんどありません。歩行、立位、階段の上り下りなどほとんど膝の動きが関与しています。 また、膝の痛みも動いているときに多く見られます。 そのため、変形性膝関節症による膝の症状の原因の多くは、生活習慣の動作中...
ひざ 【春日部のやぎはし整体院】ひざの整体 関節の水 膝関節の水をたまらないようにするには・・・《春日部のやぎはし整体院が解説》 「ひざの水」の用語の誤解 膝関節に水がたまる事を専門用語で「関節水症」と言います。 ちなみに「関節水腫」は間違いです!! まず、膝の関節液について説明します。関節液は、滑液と呼ばれます。 滑液は、関節を覆っている関節包の内側にある滑膜で、分泌...
ひざ 【春日部のやぎはし整体院】ひざの痛みの治療・整体 扁平足を治すことで膝の痛みを劇的に改善! 扁平足が膝の痛みの原因になる!!《春日部のやぎはし整体院が解説》 筋骨格系のキネシオロジーより一部改変 正常の足では、土踏まず(医学用語では内側縦アーチ)があるために、歩行時や階段昇降時の体重負荷を足全体で分散しています。 また、床からの衝撃を土踏まずをつぶすことでうまく吸収しています。 この2点が主な土踏まずの機能に...
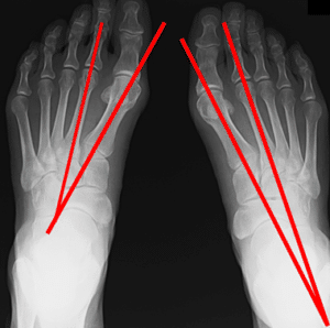
ひざ 【春日部のやぎはし整体院】ひざの整体 母趾を整える 外反母趾がひざの痛みの原因になる《春日部のやぎはし整体院が解説》 外反母趾の病因 様々な形状や性質、種類の靴が作られ、それを履くことや最近の生活様式によって、急速に増加してきています。 その要因として、以下が密接に関わりあって発生します。 外反母趾になる要因 土踏まず(内側縦アーチ)の低下=扁平足 横アーチの低下 中足...
ひざ 【春日部のやぎはし整体院】ひざの軟骨は再生する!! 膝の軟骨の再生《春日部のやぎはし整体院が解説》 変形性膝関節症などで、膝関節の軟骨が一度すり減ると修復しないと言われています。 しかし、軟骨も細胞から出来ています。 細胞から出来ているということは、代謝が毎日行われているということです。 代謝とは、古い身体の組織を、新しい身体の組織に置き換えることを言います。 つまり、...
ひざ 【春日部のやぎはし整体院】春日部で『半月板損傷』専門の整体 春日部で半月板損傷を治療するおススメの整体 半月板の役割《春日部のやぎはし整体院が解説》 膝には大腿骨と脛骨(すねの骨)との間に半月板と呼ばれる柔らかい物が内側と外側2つあります。 主に関節の衝撃を和らげるクッションのような作用があります。 また、膝がスムーズに動くための潤滑作用もあります。 そのため損傷すると腫れたり...
ひざ 【春日部のやぎはし整体院】正しい筋トレで、ひざを整える 筋トレでひざを整える《春日部のやぎはし整体院が解説》 なぜ筋力を向上しなくてはならないのか? よくある話で、「膝が痛くて病院に行くと筋トレをしなさい!」と言われますが、どこの筋力をつけたらいいのか、どうして筋力をつけると痛みが軽くなるのかが分からないため、筋トレが持続しないことが多いです。 ここでは効果的な正しい膝周り...
ひざ 変形性膝関節症 【春日部のやぎはし整体院】変形性膝関節症とお皿の関係 変形性膝関節症とお皿は関係が深い! https://youtu.be/0tB1zUtrDzM お皿の動きが重要!!《春日部のやぎはし整体院が解説》 カパンディより引用 膝の痛みを増悪させている原因の一つに、お皿(膝蓋骨)の動きが悪い場合があります。 膝蓋骨は、膝を曲げるときは下方へ、伸ばすときは上方へ動きます。 しかし...
ひざ 変形性膝関節症 【春日部のやぎはし整体院】変形性膝関節症と関節の遊びの関係 膝の関節の遊びが重要!! 膝のわずかな動きを引き出す《春日部のやぎはし整体院が解説》 標準 理学療法学 総論から改編して転載 関節内のわずかな動きが必ず必要になります。 実は、このわずかな動きは、レントゲンやCT、MRIといった止まった状態で撮影する検査では、わからないです。そのため軽視される傾向にあります。 関節の動...
ひざ 変形性膝関節症 【春日部のやぎはし整体院】変形性膝関節症と大腿四頭筋の関係 膝に大切な大腿四頭筋とは? 太ももの筋肉が痛みが原因!!《春日部のやぎはし整体院が解説》 解剖学アトラスから転載 太ももの前には大腿四頭筋と呼ばれる大きな筋肉があります。 この筋肉は、特に膝を歩行時に安定させる効果があります。 しかし、この筋肉が硬くなると、筋力を最大限に発揮することができなくなるため、ひざが不安定にな...